MDGP - Mitteldeutsche Gesellschaft für Pneumologie und Thoraxchirurgie e. V.

Tagung des Berufsverbandes der Pneumologen…

10. und 11. April 2026, Quedlinburg

Partner der MDGP

Frühjahrstagung der Sektion Thoraxchirurgie der…

17. April 2026, Jena

Sektion der MDGP

Pneumologischer Praxiskongress 2026

24. - 25. April 2026, Erfurt

Partner der MDGP

Erkrankungen der Pleura

Was ist das?

Es sind Erkrankungen des Brust- und Rippenfelles, einer dünnen Membran, die die Innenseite des Brustkorbes (Pleura parietalis) ausgekleidet, und die Lunge überzieht  (Pleura visceralis).

Ursachen und Vorkommen

Es gibt entzündliche oder tumoröse Erkrankungen der Pleura. Diese Erkrankungen können zu einer Ansammlung von Flüssigkeit im Pleuraspalt, einem sog. Pleuraerguss führen.

1. Beim Pleuraerguss  besteht eine vermehrte Flüssigkeitsansammlung im Pleuraspalt. Ursächlich können neben Entzündungen, Tumoren und Autoimmunerkrankungen auch  Erkrankungen von Herz, Nieren, Leber oder Bauchspeicheldrüse sein. 

2. Eine Pleuritis ist eine Entzündung des Rippenfells, die sehr schmerzhaft sein kann. Entzündungen der Pleurablätter können Folge einer Infektion mit Bakterien, auch mit Tuberkulosebakterien (Pleuritis tuberculosa), oder Viren sein. Ein Pleuraempyem ist eine Ansammlung von Eiter im Pleuraspalt infolge einer bakteriellen Infektion. 

3. Ein Pneumothorax liegt vor, wenn Luft zwischen die beiden Pleurablätter tritt. Häufige Ursache sind Lungenverletzungen, z.B. nach Unfällen oder Erkrankungen des Lungengewebes. Es gibt aber auch spontan auftretende Pneumothoraces.

4. Gutartige Pleuraveränderungen sind Pleuraschwielen, Pleuraplaques und gutartige Tumoren. Ausgedehnte Pleuraschwielen und –schwarten, d.h. Vernarbungen der Pleurablätter sind meist Folge von Entzündungen und Verletzungen.

5. Bösartige Pleuraerkrankungen können primär in der Pleura entstehen, das sog. Pleuramesotheliom, oder als pleurale Metastasen (Tochtergeschwülste) Folge andernorts gelegener Krebserkrankungen sein. Das Pleuramesotheliom ist fast immer Folge eines Kontakts mit Asbest, der 20 – 30 Jahre zurückliegen kann. Häufige bösartige Tumore, die in die Pleura metastasieren, sind z.B. das Bronchialkarzinom (Lungenkrebs) oder das   Mammakarzinom (Krebs der Brustdrüse).

Wie werden die Erkrankungen entdeckt?

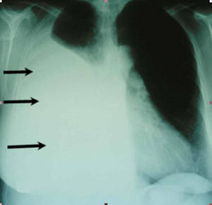
Häufige Symptome sind Luftnot und Schmerzen im Brustkorb. Untersuchungs-möglichkeiten bestehen in der Lungenfunktionsmessung und Röntgenaufnahmen (siehe Abb. 1). Weiterhin können eine Computertomographie (CT) Sonographie (Ultraschalluntersuchung), Magnetresonanztomographie, Pleurapunktionen, Spiegelung des Brustkorbes (Thorakoskopie, siehe Abb. 2) sowie die Entnahme von Gewebeproben  erforderlich sein.

Abb1: Röntgenaufnahme mit Pleuraerguss rechts

Abb2: Thorakoskopie (Spiegelung des Brustkorbes)

Wie werden die Erkrankungen behandelt?

Die Behandlung erfolgt entsprechend der Grunderkrankung, z.B. einer Lungenentzündung durch Antibiotika oder einer Krebserkrankung durch eine Chemotherapie. Selten besteht die Notwendigkeit einer Operation. Bei starker Flüssigkeitsansammlung ist eine Entlastungspunktion erforderlich. Unter der Anlage einer Thoraxdrainage versteht man die Platzierung eines Katheters in die Pleurahöhle. Dies kann erforderlich sein zur Absaugung von Luft oder von Flüssigkeiten. Wenn sich die Ursache des Pleuraergusses nicht beseitigen lässt, dann kann eine Verklebung der Pleurablätter mit speziellen Medikamenten, eine sog. Pleurodese erforderlich sein. Diese Maßnahme verhindert, dass es zu einer erneuten Flüssigkeitsansammlung in der Pleurahöhle kommen kann. Es besteht auch die Möglichkeit dauerhaft einen sog. Pleurex-Katheter in die Pleurahöhle zu implantieren, der ein regelmäßiges Ablassen der Ergussflüssigkeit ermöglicht.


Autorenteam

  • Dr. med. Christian Franke
  • Dr. Th. Heindl, Leipzig
  • Dr. med. H.-P. Hlawa, Schmölln
  • Dr. med. Dirk Koschel
  • Dr. Looke, Suhl
  • Dr. Christian Riedel, Bad Berka
  • Dr. med. S. Riese
  • PD Dr. Jens Schreiber
  • Dr. Dagmar Täuscher
  • Dr. Diane Wieczorek
  • Dr. M. Wiemann, Magdeburg
  • Dr. J. Winkler, Leipzig
  • Dr. Susanne Ziebuhr

Anrufen

E-Mail