MDGP - Mitteldeutsche Gesellschaft für Pneumologie und Thoraxchirurgie e. V.

Tagung des Berufsverbandes der Pneumologen…

10. und 11. April 2026, Quedlinburg

Partner der MDGP

Frühjahrstagung der Sektion Thoraxchirurgie der…

17. April 2026, Jena

Sektion der MDGP

Pneumologischer Praxiskongress 2026

24. - 25. April 2026, Erfurt

Partner der MDGP

Erkrankungen des Mediatinums

Was ist das?

Das Mediastinum, übersetzt der „Mittelfellraum“, befindet sich im Brustkorb zwischen linker und rechter Lunge. Es erstreckt sich im oberen Brustkorb vom Brustbein bis zur Wirbelsäule, wird von oben durch die Halsweichteile, von unten durch das Zwerchfell und seitlich durch die Pleura (Lungenfell) begrenzt. Im Mittelfellraum (Mediastinum) befinden sich in lockeres Bindegewebe eingebettet das Herz, die herznahen großen Blutgefäße, die Luftröhre, die Speiseröhre, die Thymusdrüse, Lymphknoten, Nerven und Fettgewebe.

Ursache und Vorkommen

1. nicht-tumoröse Erkrankungen
Als Mediastinitis wird eine Entzündung im Bereich der Mediastinalorgane bezeichnet. Sie ist eine seltene Erkrankung, die beispielsweise bei Verletzungen der Speiseröhre, nach Operationen, bei einer  Tuberkulose oder im Rahmen von Autoimmunerkrankungen auftreten kann.
Verletzungen, z.B. der Speiseröhre oder der Luftröhre können zu einer Luftansammlung im Mediastinum, einem Mediastinalemphysem  führen.
Die Lymphknoten im Mediastinum können im Krankheitsfall anschwellen und teilweise eine erhebliche Größe erreichen. Ursachen können entzündliche Erkrankungen, z.B. eine Sarkoidose oder Tuberkulose, oder bösartige Erkrankungen z.B. Metastasen sein. Zysten im Mediastinum sind oft angeboren.

2. tumoröse Erkrankungen
Gutartige Tumore wachsen langsam, bilden keine Tochtergeschwülste und haben, wenn sie operativ entfernt werden, keine Neigung wiederaufzutreten. Eine Tumorerkrankung im Mediastinum kann durch eine Vergrößerung der Schilddrüse, eine sog. intrathorakale Struma, vorgetäuscht werden.
Bösartige Tumore wachsen meist schnell und neigen dazu, Tochterabsiedlungen (Metastasen) zu bilden. Metastasen anderenorts gelegener Primärtumore sind ebenfalls möglich.

Wie werden die Erkrankungen entdeckt?

Symptome von Erkrankungen des Mediastinums können Beschwerden wie Luftnot, Engegefühl im  Brustkorbes, Husten, Heiserkeit, Herabhängen eines Augenlides, Hervortreten der Halsvenen oder körperliche Abgeschlagenheit sein.
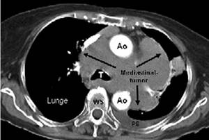
Im Röntgen des Brustkorbes kann die Verbreiterung oder Verlagerung des Mediastinums erkannt werden. Zur weiteren Abklärung ist eine Computertomographie (CT) (Abb.2), evtl. ergänzt durch eine Magnetresonanz-tomographie (MRT) oder eine Angiographie (Blutgefäßdarstellung), erforderlich. Zur genauen Diagnosestellung ist meist eine feingewebliche Untersuchung von Gewebsproben durch eine Punktion von außen oder über eine Bronchoskopie oder Ösophagoskopie notwendig.
Wenn es damit nicht möglich ist, eine sichere Diagnose zu stellen, besteht die Möglichkeit einer Mediastinoskopie (Spiegelung des Mediastinums) (Abb.2). Sehr selten ist eine Operation erforderlich.

Wie werden die Erkrankungen behandelt?

Die Therapie richtet sich nach der zugrundeliegenden Erkrankung, weshalb die oben beschriebene genaue Diagnostik erforderlich ist. Bei Tumorerkrankungen können neben einer Operation, auch die Chemotherapie und/oder die Bestrahlung Bestandteile des Behandlungskonzepts sein. Entzündliche Erkrankungen können meist mit Medikamenten erfolgreich behandelt werden.

Abb1: Gewebeentnahme durch Mediastinoskopie

Abb2: Computertomogramm (CT) eines) Patienten mit großem Mediastinaltumor

LK = Lymphknoten, T = Trachea, AO = Aorta, WS = Wirbelsäule, BZ = Biopsiezange, VM = vorderes Mediastinum, PE = Pleuraerguß


Autoren

  • Dr. med. Christian Franke
  • Dr. Th. Heindl, Leipzig
  • Dr. med. H.-P. Hlawa, Schmölln
  • Dr. med. Dirk Koschel
  • Dr. Looke, Suhl
  • Dr. Christian Riedel, Bad Berka
  • Dr. med. S. Riese
  • PD Dr. Jens Schreiber
  • Dr. Dagmar Täuscher
  • Dr. Diane Wieczorek
  • Dr. M. Wiemann, Magdeburg
  • Dr. J. Winkler, Leipzig
  • Dr. Susanne Ziebuhr

Anrufen

E-Mail